پرش لینک ها

التهاب لثه در بارداری و نکات مهمی که باید بدانید!

بارداری در کنار همه شیرینی‌ها برخی تغییرات جسمی را به‌همراه دارد که گاهی می‌تواند چالش‌برانگیز باشد. یکی از این تغییرات شایع التهاب لثه در بارداری است؛ مشکلی که اغلب جدی گرفته نمی‌شود. تورم، قرمزی یا خونریزی لثه شاید در نگاه اول کوچک به نظر برسد؛ اما پشت این نشانه‌ها ممکن است خطرات مهمی برای سلامت مادر و حتی نوزاد پنهان باشد. تحقیقات نشان داده‌اند که بی‌توجهی به عفونت یا التهاب لثه در بارداری ممکن است با مشکلاتی مثل زایمان زودرس یا وزن کم نوزاد ارتباط پیدا کند. پس اگر منتظر تولد فرزندتان هستید، سلامت لثه‌هایتان به‌اندازه سلامت قلب و تغذیه‌تان اهمیت دارد. در ادامه با نکات کلیدی برای شناخت، پیشگیری و درمان این مشکل آشنا می‌شوید. با ما همراه باشید.

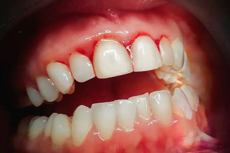
ورم و التهاب لثه در بارداری را جدی بگیرید

ورم و التهاب لثه در بارداری چیزی نیست که بتوان آن را ساده کنار گذاشت. تغییرات هورمونی در این دوران باعث می‌شوند لثه‌ها نسبت به پلاک و باکتری‌ها حساس‌تر شوند و همین موضوع احتمال قرمزی، خونریزی و حتی عفونت را افزایش می‌دهد. شاید در ابتدا فقط هنگام مسواک زدن چند قطره خون ببینید؛ اما ادامه‌دار شدن این وضعیت می‌تواند به تحلیل لثه یا مشکلات جدی‌تر منجر شود.

مشکل جایی جدی‌تر می‌شود که علاوه‌بر تاثیر مستقیم بر سلامت دهان، این التهاب می‌تواند بر روند بارداری هم اثر بگذارد. بنابراین هر نشانه‌ای از ورم، درد یا خونریزی لثه باید جدی گرفته شود و با مراجعه به دندانپزشک از پیشرفت آن جلوگیری کرد.

چرا در بارداری التهاب و عفونت لثه ایجاد می‌شود؟

بسیاری از زنان باردار با دیدن خونریزی یا تورم لثه نگران می‌شوند و حق هم دارند. تغییرات بدن در این دوران تنها به ظاهر و هورمون‌ها محدود نمی‌شود، بلکه دهان و لثه‌ها نیز تحت تاثیر مستقیم قرار می‌گیرند. دلایل اصلی بروز التهاب لثه در بارداری عبارت‌اند از:

  • تغییرات هورمونی: افزایش پروژسترون و استروژن حساسیت و التهاب لثه‌ها را بیشتر می‌کند.
  • تجمع پلاک و باکتری: حتی مقدار کمی پلاک در این دوران می‌تواند باعث قرمزی و خونریزی شود.
  • تهوع و استفراغ‌های مکرر: اسید معده بافت لثه را تحریک و التهاب را تشدید می‌کند.
  • رژیم غذایی متفاوت: تمایل به میان‌وعده‌های شیرین رشد باکتری‌ها را افزایش می‌دهد.
  • کاهش بهداشت دهان: خستگی یا حساسیت به بوی خمیردندان باعث کم شدن دفعات و زمان مسواک زدن روزانه می‌شود.

ارتباط عفونت لثه در بارداری با زایمان زودرس چیست؟

شاید عجیب به نظر برسد؛ اما تحقیقات نشان می‌دهد که عفونت و التهاب لثه در بارداری می‌تواند با زایمان زودرس هم ارتباط داشته باشد! چطور؟ وقتی لثه دچار التهاب شدید می‌شود، بدن برای مقابله با باکتری‌ها مواد التهابی ترشح می‌کند. این مواد می‌توانند وارد جریان خون شوند و به رحم برسند. نتیجه چیست؟ افزایش احتمال انقباضات زودرس و حتی باز شدن دهانه رحم پیش‌از موعد.

به‌همین دلیل است که زنان باردار با عفونت لثه درمان‌نشده بیشتر در معرض خطر تولد نوزاد نارس قرار می‌گیرند. پس اگر در دوران بارداری با تورم، خونریزی یا درد لثه مواجه شدید، مراجعه به دندانپزشک فقط یک انتخاب نیست، بلکه اقدامی حیاتی برای حفظ سلامت نوزاد است.

وزن کم کودک هنگام تولد چه ارتباطی با عفونت لثه دارد؟

یکی از نگرانی‌های جدی در دوران بارداری، تولد نوزاد با وزن کم است. پژوهش‌ها نشان داده‌اند که عفونت لثه در بارداری می‌تواند احتمال این مشکل را افزایش دهد. دلیلش این است که التهاب لثه باعث ترشح مواد شیمیایی خاصی در بدن می‌شود که روی رشد جنین اثر منفی می‌گذارند. در واقع وقتی بدن مادر به‌طور مداوم درگیر مبارزه با باکتری‌های لثه است، منابع انرژی و مواد مغذی به جای رشد کامل جنین صرف کنترل التهاب می‌شوند. همین موضوع می‌تواند کاهش وزن نوزاد در هنگام تولد را به‌دنبال داشته باشد. بنابراین سلامت لثه‌ها نه‌تنها برای راحتی مادر، بلکه برای رشد و سلامت جنین هم حیاتی است.

چرا در بارداری تومور لثه ایجاد می‌شود؟

در دوران بارداری برخی زنان متوجه برجستگی یا برآمدگی قرمز رنگی روی لثه‌هایشان می‌شوند که به آن «تومور بارداری» یا Pregnancy Tumor گفته می‌شود. این وضعیت در واقع نوعی رشد خوش‌خیم است و بیشتر به‌دلیل تغییرات هورمونی و واکنش شدید لثه به پلاک‌های میکروبی ایجاد می‌شود.

تومور بارداری معمولاً بی‌خطر است و پس‌از زایمان به مرور کوچک یا کاملا محو خواهد شد. با این حال چون می‌تواند باعث خونریزی، ناراحتی هنگام غذا خوردن یا حتی نگرانی از ظاهر لبخند شود، بهتر است بررسی‌هایی تحت نظر دندانپزشک برای کنترل بهتر شرایظ انجام شود. در موارد شدید یا آزاردهنده حتی ممکن است نیاز به برداشتن آن وجود داشته باشد. نکته مهم این است که تومور لثه در بارداری نشانه سرطان یا بیماری خطرناک نیست؛ اما بی‌توجهی به آن هم تحت هیچ شرایطی توصیه نمی‌شود.

چه زمانی برای التهاب لثه در اوایل بارداری به پزشک مراجعه کنیم؟

تغییرات جزئی مثل قرمزی خفیف یا حساسیت ملایم لثه در اوایل بارداری طبیعی است؛ اما بعضی علائم نشان می‌دهند که مشکل جدی‌تر است و باید سریع‌تر به دندانپزشک مراجعه کنید:

  • خونریزی مداوم لثه: وقتی هنگام مسواک یا نخ دندان خونریزی قطع نمی‌شود.
  • تورم شدید یا پایدار: ورمی که بعد از چند روز کاهش پیدا نکند.
  • بوی بد دهان ماندگار: نشانه‌ای از تجمع باکتری یا عفونت است.
  • درد یا حساسیت هنگام غذا خوردن: به‌خصوص اگر مانع جویدن طبیعی شود.
  • تغییر در عادات روزمره: وقتی التهاب به حدی است که روی تغذیه یا خواب شما اثر می‌گذارد.

در صورت بروز این علائم مراجعه به دندانپزشک نه تنها سلامت دهان، بلکه سلامت بارداری شما را هم تضمین می‌کند.

جدول بررسی علائم خفیف در برابر علائم خطرناک التهاب لثه در بارداری

 

علائم خفیف و معمول در بارداری

توضیح کوتاه

علائم خطرناک و هشداردهنده

توضیح کوتاه

قرمزی ملایم لثه

ناشی از تغییرات هورمونی

خونریزی شدید و مداوم

نشانه التهاب یا عفونت جدی

حساسیت خفیف هنگام مسواک

با مسواک نرم قابل‌کنترل است

درد شدید هنگام جویدن

می‌تواند نیازمند درمان فوری باشد

تورم جزئی گذرا

اغلب در سه ماهه اول رخ می‌دهد

تورم گسترده و پایدار

احتمال وجود آبسه یا عفونت

خونریزی گهگاهی

هنگام نخ دندان یا مسواک‌زدن

بوی بد دهان دائمی

نشانه تجمع باکتری و بیماری لثه

حساسیت به غذاهای سفت

طبیعی و موقتی

لق شدن دندان‌ها

نشانه تحلیل استخوان یا عفونت پیشرفته

تغییر رنگ مختصر لثه

اغلب بدون درد

تب و ضعف عمومی

نیاز فوری به بررسی پزشکی

بهترین راه درمان و تسکین درد تحلیل لثه در بارداری چیست؟

زمانی که در دوران بارداری دچار التهاب یا تحلیل لثه می‌شوید، اولین نکته مهم این است که آرامش خود را حفظ کنید. بسیاری از روش‌های درمانی ایمن و بدون خطر برای مادر و جنین وجود دارد. کلید اصلی برطرف کردن این مشکل مراجعه به دندانپزشک متخصص است تا شدت مشکل بررسی و درمان متناسب انتخاب شود. در این بین برای کاهش درد و کنترل التهاب می‌توانید از راهکارهای زیر استفاده کنید:

  • رعایت دقیق بهداشت دهان و دندان: مسواک نرم و نخ دندان مخصوص بارداری کمک می‌کند پلاک‌ها تجمع نکنند.
  • دهانشویه‌های بی‌خطر در بارداری: برخی دهان‌شویه‌های ضدباکتری مورد تایید پزشک می‌توانند التهاب را کاهش دهند.
  • رژیم غذایی متعادل: مصرف میوه و سبزیجات تازه و کاهش قند و شیرینی هم به لثه و هم به سلامت جنین کمک می‌کند.
  • کمپرس سرد: اگر تورم یا درد شدید دارید، گذاشتن کمپرس سرد روی صورت می‌تواند موقتا تسکین‌بخش باشد.
  • ویزیت منظم دندانپزشکی: حتی اگر علائم خفیف باشند، چکاپ‌های دوره‌ای مانع پیشرفت التهاب می‌شوند.

یادتان باشد که مصرف خودسرانه داروها یا آنتی‌بیوتیک‌ها در بارداری می‌تواند خطرناک باشد. بنابراین همیشه انتخاب درمان را به‌عهده دندانپزشک بگذارید. با این مراقبت‌ها التهاب لثه در بارداری قابل‌کنترل است و می‌توانید دوران بارداری سالم‌تر و آرام‌تری را تجربه کنید.

مراحل پیشگیری از تحلیل لثه در بارداری چیست؟‌

پیشگیری همیشه آسان‌تر و کم‌هزینه‌تر از درمان است؛ خصوصاً وقتی پای بارداری و سلامت جنین در میان باشد. رعایت چند عادت ساده می‌تواند احتمال التهاب و تحلیل لثه در بارداری را به حداقل برساند. به جز رعایت نکات بهداشتی مانند مسواک زدن منظم و استفاده از دهانشویه مناسب توصیه می‌کنیم در صورت داشتن تهوع و استفراغ حتماً دهان را با آب و نمک شستشو دهید تا اسید معده به لثه‌ها آسیبی نرساند. همچنین می‌توانید با تغذیه مناسب و نوشیدن آب کافی در طول روز این محیط اسیدی را کاملاً خنثی کنید.

برای تورم لثه در بارداری چه چیزهایی خوب است؟

وقتی تورم لثه شدید یا مداوم باشد، دیگر تنها مسواک و آب نمک کافی نیست. در چنین شرایطی بهترین راه مراجعه به دندانپزشک است تا درمان‌های ایمن و تخصصی انجام شود. برخی از رایج‌ترین اقدامات حرفه‌ای عبارت‌اند از:

  • جرم‌گیری ملایم در دوران بارداری و پاکسازی پلاک‌ها و جرم‌های نرم بدون آسیب به لثه یا جنین؛
  • درمان التهاب با استفاده از ژل‌ها یا داروهای موضعی که توسط دندانپزشک تجویز می‌شوند؛
  • بررسی و اصلاح پرکردگی یا روکش‌های مشکل‌سازی که گاهی عامل تشدید تورم هستند؛
  • پیگیری منظم تا پایان بارداری برای جلوگیری از بازگشت التهاب.

این روش‌ها نه‌تنها تورم را کاهش می‌دهند، بلکه خیال مادر را هم از بابت سلامت نوزاد راحت‌تر می‌کنند.

سخن پایانی

التهاب لثه در بارداری چیزی نیست که بتوان آن را پشت گوش انداخت، چرا که سلامت لثه‌های شما مستقیما با سلامت جنین در ارتباط است و بی‌توجهی به آن می‌تواند عوارض جدی به همراه داشته باشد. اگر کوچک‌ترین نشانه‌ای از تورم، خونریزی یا درد مداوم دارید، بهترین کار این است که زودتر اقدام کنید تا با درمان‌های ساده و ایمن جلوی مشکلات بزرگ‌تر گرفته شود. کلینیک دندانپزشکی دکتر مهتری با بهره‌گیری از تیم متخصص و باتجربه در درمان مادران باردار می‌تواند همراه مطمئنی برای گذراندن این دوران حساس باشد. در این مرکز تمام مراقبت‌ها با رعایت اصول ایمنی برای مادر و جنین انجام می‌شود تا شما با خیالی آسوده لبخندی سالم و بی‌دردسر داشته باشید.

پیام بگذارید

خانه
نوبت دهی آنلاین
ارتباط با واتساپ
تماس